Quality is US - How we ensure optimal stain quality and scores for our antibodies
Laboratories are looking for staining slides with IHC assays that provide high sensitivity and high specificity to maximize diagnostic utility. Furthermore, they request consistent stain quality, slide after slide, especially important to always correctly detect low expressors. We devote our resources to produce reagents that always deliver optimal performance with a lot to lot consistency.
We have designed and implemented a straight forward process to develop robust assays with the following steps:
• Define the intended use and diagnostic utility of the assay
• Determine adequate control material
• Define acceptance criteria
• Identify best clone candidates
• Selection for each the best antigen retrieval
• Define for each the best dilution of the antibody and the incubation times for all the steps of the factory validated protocol
• Validate diagnostic performance internally and externally
Like NordiQC, a professional and scientific organization that promotes the quality of immunohistochemistry and expands its clinical use by arranging schemes for immunohistochemical proficiency testing, we publish the results from our validation studies on our own website called Advanced Staining Gallery to display assay performance scored optimal and enable laboratories to appreciate our daily work for you with full transparency.
We collaborate with a proficiency testing institute for external independent review and confirmation of successful fulfillment of the assessment and acceptance criteria, and for confirmation that the assay performance was scored optimal. As an example, please see the assessment / acceptance criteria for PMS2 applied and explained to the right.
PMS2, like MSH6, MSH2 and MLH1, was scored optimal in the latest proficiency test runs of NordiQC (NordiCQ). |
.jpg?width=200&height=159) |
At least weak to moderte, distinct nuclear staining reaction of virtually all cells in the appendix. |
.bmp?width=200&height=159) |
A moderate to strong, distinct nuclear staining raction of virtually all neoplastic cells in the colon adenocarcinoma. |
.bmp?width=200&height=157) |
At least weak to moderate, distinct nuclear staining reaction of virtually all mantle zone B-cells and a moderate to strong, distinct nuclear staining reaction of the germinal center B-cells in the tonsil. |
.bmp?width=200&height=156) |
No nuclear staining reaction of the neoplastic cells in the colon adenocarcinomas, but a weak to moderate distinct nuclear staining reaction in the vast majority of other cells (stromal cells, lymphocytes etc.). |
The innovative single-use Capsules make Genie the most convenient stainer on the market, eliminating batching and sorting of slides, and giving you the flexibility to load any slide, any stain, any time, any station on any Genie.
Benefit from using Capsules:
1. Run cases or single slides without the need to batch slides by antibody
2. Save time loading slides whenever a staining station is available
3. Use for any slide volume of any biomarkers
The capsule is mounted to the Tissue-Tek Genie
® Reagent Dispense Area (RDA) with its attached protocol RDA-Tag and both are loaded into an empty stain station.
In summary, this innovative technology enables laboratories to quickly load slides and reagents for an IHC stain to gain continuous workflow with short and predictable TAT.
Sakura Finetek offers 160 high quality primary antibodies and probes specifically developed to provide high sensitivity and specificity when used with the Tissue-Tek Genie Advanced Staining System. This ensures that users are provided with consistent, quality staining results and reproducibility that clinical laboratories have come to expect from Sakura Finetek IHC & ISH advanced staining products. These staining results were independently evaluated by a leading quality assurance organization to maximize diagnostic utility and provide optimal stain quality.
Discover our complete line of organ specific antibodies by clicking the buttons below.
Search:
Tissue-Tek Genie®
anti-Actin, Smooth Muscle
Clone: 1A4
Host clonality: mouse monoclonal
Control tissue: stomach, small Intestine, colon, appendix, myogenic tumors with know alpha actin expression
Staining pattern: cytoplasmic
Regulatory status: IVD, FDA Class I
| Product code: |
8292-C010: RTU, 10 capsules; 1 pack
8292-M250: RTU, 250 tests, 1 cartridge; 1 unit
|
more details
Tissue-Tek Genie®
anti-ALK (Heme)
Clone: 1A4
Host clonality: mouse monoclonal
Control tissue: appendix, ALK positive ALCL
Staining pattern: cytoplasmic and/or nuclear staining
Regulatory status: IVD, FDA Class I
| Product code: |
8350-C010: RTU, 10 capsules; 1 pack
8350-M250: RTU, 250 tests, 1 cartridge; 1 unit
|
more details
Tissue-Tek Genie®
anti-AMACR
Clone: 13H4
Host clonality: rabbit monocolonal
Control tissue: prostate adenocarcinoma
Staining pattern: granular and cytoplasmic
Regulatory status: IVD, FDA Class I
| Product code: |
8291-C010: RTU, 10 capsules; 1 pack
8291-M250: RTU, 1 cartridge, 250 tests; 1 unit
|
more details
Tissue-Tek Genie®
anti-BCL2
Clone: EP36
Host clonality: rabbit monoclonal
Control tissue: Tonsil
Staining pattern: Cytoplasmic
Regulatory status:
| Product code: |
8459-C010: RTU, 10 capsules; 1 pack
8459-M250: RTU, 1 cartridge, 250 tests; 1 unit
|
more details
Tissue-Tek Genie®
anti-BCL6
Clone: EP278
Host clonality: rabbit monoclonal
Control tissue: tonsil, some B-cell lymphomas
Staining pattern: nuclear
Regulatory status: IVD, FDA Class I
| Product code: |
8461-C010: RTU, 10 capsules; 1 pack
8461-M250: RTU, 1 cartridge, 250 tests; 1 unit
|
more details
Tissue-Tek Genie®
anti-beta-Catenin
Clone: EP35
Host clonality: rabbit monoclonal
Control tissue: liver, appendix, colon adenocarcinoma, fibromatosis lesions
Staining pattern: nuclear, cytoplasmic, and membraneous
Regulatory status: IVD, FDA Class I
| Product code: |
8261-C010: RTU, 10 capsules; 1 pack
8261-M250: RTU, 250 tests, 1 cartridge; 1 unit
|
more details
Tissue-Tek Genie®
anti-BOB.1
Clone: ZM74
Host clonality: mouse monoclonal
Control tissue: tonsil, DLBCL, follicle center lymphoma
Staining pattern: cytoplasmic and nuclear
Regulatory status: IVD, FDA Class I
| Product code: |
8462-C010: RTU, 10 capsules; 1 pack
8462-M250: RTU, 250 tests, 1 cartridge; 1 unit
|
more details
Tissue-Tek Genie®
anti-Cadherin 17
Clone: QR098
Host clonality: rabbit monoclonal
Control tissue: appendix, pancreas, or colorectal carcinoma
Staining pattern: predominantly membranous
Regulatory status: IVD, FDA Class I
| Product code: |
8364-C010: RTU, 10 capsules; 1 pack
8364-M250: RTU, 250 tests, 1 cartridge; 1 unit
|
more details
Tissue-Tek Genie®
anti-Calponin
Clone: EP63
Host clonality: rabbit monoclonal
Control tissue: gastrointestinal tract, normal breast
Staining pattern: cytoplasmic
Regulatory status: IVD, FDA Class I
| Product code: |
8310-C010: RTU, 10 capsules; 1 pack
8310-M250: RTU, 1 cartridge, 250 tests; 1 unit
|
more details
Tissue-Tek Genie®
anti-Calretinin
Clone: RM324
Host clonality: rabbit monoclonal
Control tissue: appendix, colon, mesothelioma
Staining pattern: cytoplasmic and nuclear
Regulatory status: IVD, FDA Class I
| Product code: |
8522-C010: RTU, 10 capsules; 1 pack
8522-M250: RTU, 250 tests, 1 cartridge; 1 unit
|
more details
Tissue-Tek Genie®
anti-CD117 (c-kit)
Clone: EP10
Host clonality: rabbit monoclonal
Control tissue: appendix, colon, GIST
Staining pattern: membraneous and cytoplasmic
Regulatory status: IVD, FDA Class I
| Product code: |
8267-C010: RTU, 10 capsules; 1 pack
8267-M250: RTU, 250 tests, 1 cartridge; 1 unit
|
more details
Tissue-Tek Genie®
anti-CD13
Clone: EP117
Host clonality: rabbit monoclonal
Control tissue: appendix, bone marrow, liver and selected cases of AML
Staining pattern: membraneous and cytoplasmic
Regulatory status: IVD, FDA Class I
| Product code: |
8503-C010: RTU, 10 capsules; 1 pack
8503-M250: RTU, 250 tests, 1 cartridge; 1 unit
|
more details
Tissue-Tek Genie®
anti-CD138
Clone: B-A38
Host clonality: mouse monoclonal
Control tissue: tonsil, appendix, plasmacytoma, and CD138 positive DLBCL
Staining pattern: mainly membraneous and some cytoplasmic
Regulatory status: IVD, FDA Class I
| Product code: |
8241-C010: RTU, 10 capsules; 1 pack
8241-M250: RTU, 250 tests, 1 cartridge; 1 unit
|
more details
Tissue-Tek Genie®
anti-CD14
Clone: EP128
Host clonality: rabbit monoclonal
Control tissue: tonsil, appendix, liver
Staining pattern: membraneous and cytoplasmic
Regulatory status: IVD, FDA Class I
| Product code: |
8321-C010: RTU, 10 capsules; 1 pack
8321-M250: RTU, 250 tests, 1 cartridge; 1 unit
|
more details
Tissue-Tek Genie®
anti-CD15
Clone: MMA
Host clonality: mouse monoclonal
Control tissue: tonsil, appendix, kidney, classical Hodgkin lymphoma, and lung adenocarcinoma
Staining pattern: cytoplasmic and membraneous
Regulatory status: IVD, FDA Class I
| Product code: |
8256-C010: RTU, 10 capsules; 1 pack
8256-M250: RTU, 250 tests, 1 cartridge; 1 unit
|
more details
Tissue-Tek Genie®
anti-CD163
Clone: EP324
Host clonality: rabbit monoclonal
Control tissue: tonsil, appendix, liver, CD163 positive dermatofibromas
Staining pattern: cytoplasmic
Regulatory status: IVD, FDA Class I
| Product code: |
8245-C010: RTU, 10 capsules; 1 pack
8245-M250: RTU, 250 tests, 1 cartridge; 1 unit
|
more details
Tissue-Tek Genie®
anti-CD19
Clone: EP169
Host clonality: rabbit monoclonal
Control tissue: tonsil, appendix, and B-cell neoplasms
Staining pattern: membraneous
Regulatory status: IVD, FDA Class I
| Product code: |
8516-C010: RTU, 10 capsules; 1 pack
8516-M250: RTU, 250 tests, 1 cartridge; 1 unit
|
more details
Tissue-Tek Genie®
anti-CD1a
Clone: EP80
Host clonality: rabbit monoclonal
Control tissue: thymus, skin
Staining pattern: membraneous and cytoplasmic
Regulatory status: IVD, FDA Class I
| Product code: |
8246-C010: RTU, 10 capsules; 1 pack
8246-M250: RTU, 1 cartridge, 250 tests; 1 unit
|
more details
Tissue-Tek Genie®
anti-CD2
Clone: EP222
Host clonality: rabbit monoclonal
Control tissue: tonsil, appendix, some T-cell lymphomas
Staining pattern: membraneous
Regulatory status: IVD, FDA Class I
| Product code: |
8255-C010: RTU, 10 capsules; 1 pack
8255-M250: RTU, 1 cartridge, 250 tests; 1 unit
|
more details
Tissue-Tek Genie®
anti-CD20
Clone: L26
Host clonality: mouse monoclonal
Control tissue: tonsil
Staining pattern: membraneous
Regulatory status: IVD, FDA Class I
| Product code: |
8259-C010: RTU, 10 capsules; 1 pack
8259-M250: RTU, 1 cartridge, 250 tests; 1 unit
|
more details
Tissue-Tek Genie®
anti-CD21
Clone: EP64
Host clonality: rabbit monoclonal
Control tissue: tonsil, lymph node
Staining pattern: membraneous
Regulatory status: IVD, FDA Class I
| Product code: |
8260-C010: RTU, 10 capsules; 1 pack
8260-M250: RTU, 250 tests, 1 cartridge; 1 unit
|
more details
Tissue-Tek Genie®
anti-CD23
Clone: GR013
Host clonality: rabbit monoclonal
Control tissue: tonsil or known CD23 positive B-cell lymphoma
Staining pattern: membraneous and some cytoplasmic
Regulatory status: IVD, FDA Class I
| Product code: |
8262-C010: RTU, 10 capsules; 1 pack
8262-M250: RTU, 1 cartridge, 250 tests; 1 unit
|
more details
Tissue-Tek Genie®
anti-CD3
Clone: EP177
Host clonality: rabbit monoclonal
Control tissue: tonsil
Staining pattern: membraneous
Regulatory status: IVD, FDA Class I
| Product code: |
8280-C010: RTU, 10 capsules; 1 pack
8280-M250: RTU, 1 cartridge, 250 tests; 1 unit
|
more details
Tissue-Tek Genie®
anti-CD30
Clone: Ber-H2
Host clonality: mouse monoclonal
Control tissue: Hodgkin lymphoma and ALCL
Staining pattern: membraneous and cytoplasmic
Regulatory status: IVD, FDA Class I
| Product code: |
8265-C010: RTU, 10 capsules; 1 pack
8265-M250: RTU, 1 cartridge, 250 tests; 1 unit
|
more details
Tissue-Tek Genie®
anti-CD31
Clone: RM247
Host clonality: rabbit monoclonal
Control tissue: appendix, tonsil, liver, placenta
Staining pattern: mainly membraneous and some cytoplasmic
Regulatory status: IVD, FDA Class I
| Product code: |
8282-C010: RTU, 10 capsules; 1 pack
8282-M250: RTU, 1 cartridge, 250 tests; 1 unit
|
more details
Tissue-Tek Genie®
anti-CD34
Clone: QBEnd/10
Host clonality: mouse monoclonal
Control tissue: normal appendix, tonsil, liver
Staining pattern: membraneous
Regulatory status: IVD, FDA Class I
| Product code: |
8268-C010: RTU, 10 capsules; 1 pack
8268-M250: RTU, 1 cartridge, 250 tests; 1 unit
|
more details
Tissue-Tek Genie®
anti-CD38
Clone: GM038
Host clonality: mouse monoclonal
Control tissue: appendix, myeloma, and plasmacytoma
Staining pattern: membraneous and cytoplasmic
Regulatory status: IVD, FDA Class I
| Product code: |
8277-C010: RTU, 10 capsules; 1 pack
8277-M250: RTU, 250 tests, 1 cartridge; 1 unit
|
more details
Tissue-Tek Genie®
anti-CD4
Clone: EP204
Host clonality: rabbit monocolonal
Control tissue: tonsil, appendix, and some T-cell lymphomas
Staining pattern: membraneous
Regulatory status: IVD, FDA Class I
| Product code: |
8226-C010: RTU, 10 capsules; 1 pack
8226-M250: RTU, 1 cartridge, 250 tests; 1 unit
|
more details
Tissue-Tek Genie®
anti-CD43
Clone: DF-T1
Host clonality: mouse monoclonal
Control tissue: lymph node, tonsil, appendix
Staining pattern: membraneous and cytoplasmic
Regulatory status: IVD, FDA Class I
| Product code: |
8279-C010: RTU, 10 capsules; 1 pack
8279-M250: RTU, 250 tests, 1 cartridge; 1 unit
|
more details
Tissue-Tek Genie®
anti-CD45
Clone: GR009
Host clonality: rabbit monoclonal
Control tissue: tonsil, liver
Staining pattern: membraneous
Regulatory status: IVD, FDA Class I
| Product code: |
8271-C010: RTU, 10 capsules; 1 pack
8271-M250: RTU, 1 cartridge, 250 tests; 1 unit
|
more details
Tissue-Tek Genie®
anti-CD5
Clone: EP132
Host clonality: rabbit monoclonal
Control tissue: tonsil, appendix, colon
Staining pattern: membraneous
Regulatory status: IVD, FDA Class I
| Product code: |
8251-C010: RTU, 10 capsules; 1 pack
8251-M250: RTU, 1 cartridge, 250 tests; 1 unit
|
more details
Tissue-Tek Genie®
anti-CD56
Clone: MRQ-42
Host clonality: rabbit monoclonal
Control tissue: tonsil, appendix, liver
Staining pattern: membraneous and cytoplasmic
Regulatory status: IVD, FDA Class I
| Product code: |
8274-C010: RTU, 10 capsules; 1 pack
8274-M250: RTU, 250 tests, 1 cartridge; 1 unit
|
more details
Tissue-Tek Genie®
anti-CD57
Clone: NK1
Host clonality: mouse monoclonal
Control tissue: lymph node and tonsil
Staining pattern: membraneous
Regulatory status: IVD, FDA Class I
| Product code: |
8338-C010: RTU, 10 capsules; 1 pack
8338-M250: RTU, 250 tests, 1 cartridge; 1 unit
|
more details
Tissue-Tek Genie®
anti-CD61
Clone: ZM33
Host clonality: mouse monoclonal
Control tissue: bone marrow, AML
Staining pattern: cytoplasmic
Regulatory status: IVD, FDA Class I
| Product code: |
8518-C010: RTU, 10 capsules; 1 pack
8518-M250: RTU, 250 tests, 1 cartridge; 1 unit
|
more details
Tissue-Tek Genie®
anti-CD63
Clone: EP211
Host clonality: rabbit monoclonal
Control tissue: pancreas, skin, prostate, melanoma
Staining pattern: cytoplasmic (with occasional dot-like pattern) and membraneous
Regulatory status: IVD, FDA Class I
| Product code: |
8283-C010: RTU, 10 capsules; 1 pack
8283-M250: RTU, 250 tests, 1 cartridge; 1 unit
|
more details
Tissue-Tek Genie®
anti-CD68
Clone: GR021
Host clonality: rabbit monoclonal
Control tissue: tonsil, brain
Staining pattern: cytoplasmic
Regulatory status: IVD, FDA Class I
| Product code: |
8275-C010: RTU, 10 capsules; 1 pack
8275-M250: RTU, 1 cartridge, 250 tests; 1 unit
|
more details
Tissue-Tek Genie®
anti-CD7
Clone: EP132
Host clonality: rabbit monoclonal
Control tissue: tonsil, appendix, colon
Staining pattern: membraneous
Regulatory status: IVD, FDA Class I
| Product code: |
8251-C010: RTU, 10 capsules; 1 pack
8251-M250: RTU, 1 cartridge, 250 tests; 1 unit
|
more details
Tissue-Tek Genie®
anti-CD71
Clone: EP232
Host clonality: rabbit monoclonal
Control tissue: tonsil, appendix liver, placenta, bone marrow, AML-M6
Staining pattern: membraneous and cytoplasmic
Regulatory status: IVD, FDA Class I
| Product code: |
8322-C010: RTU, 10 capsules; 1 pack
8322-M250: RTU, 250 tests, 1 cartridge; 1 unit
|
more details
Tissue-Tek Genie®
anti-CD79a
Clone: GR019
Host clonality: rabbit monoclonal
Control tissue: tonsil, colon, appendix
Staining pattern: membraneous and cytoplasmic
Regulatory status: IVD, FDA Class I
| Product code: |
8278-C010: RTU, 10 capsules; 1 pack
8278-M250: RTU, 1 cartridge, 250 tests; 1 unit
|
more details
Tissue-Tek Genie®
anti-CD8
Clone: C8/144B
Host clonality: mouse monoclonal
Control tissue: normal tonsil, spleen
Staining pattern: mainly membraneous
Regulatory status: IVD, FDA Class I
| Product code: |
8252-C010: RTU, 10 capsules; 1 pack
8252-M250: RTU, 1 cartridge, 250 tests; 1 unit
|
more details
Tissue-Tek Genie®
anti-CDX2
Clone: EP25
Host clonality: rabbit monoclonal
Control tissue: appendix, pancreas
Staining pattern: nuclear
Regulatory status: IVD, FDA Class I
| Product code: |
8285-C010: RTU, 10 capsules; 1 pack
8285-M250: RTU, 1 cartridge, 250 tests; 1 unit
|
more details
Tissue-Tek Genie®
anti-CEA
Clone: COL-1
Host clonality: mouse monoclonal
Control tissue: normal colon
Staining pattern: membraneous and cytoplasmic
Regulatory status: IVD, FDA Class I
| Product code: |
8225-C010: RTU, 10 capsules; 1 pack
8225-M250: RTU, 1 cartridge, 250 tests; 1 unit
|
more details
Tissue-Tek Genie®
anti-Chromogranin A
Clone: LK2H10
Host clonality: mouse monoclonal
Control tissue: colon, appendix, brain, pancreas, neuroendocrine tumors
Staining pattern: cytoplasmic
Regulatory status: IVD, FDA Class I
| Product code: |
8286-C010: RTU, 10 capsules; 1 pack
8286-M250: RTU, 1 cartridge, 250 tests; 1 unit
|
more details
Tissue-Tek Genie®
anti-c-Myc
Clone: EP121
Host clonality: rabbit monoclonal
Control tissue: tonsil, c-Myc positive B-cell lymphoma
Staining pattern: nuclear
Regulatory status: IVD, FDA Class I
| Product code: |
8332-C010: RTU, 10 capsules; 1 pack
8332-M250: RTU, 250 tests, 1 cartridge; 1 unit
|
more details
Tissue-Tek Genie®
anti-Cyclin D1
Clone: EP12
Host clonality: rabbit monoclonal
Control tissue: tonsil
Staining pattern: nuclear
Regulatory status: IVD, FDA Class I
| Product code: |
8469-C010: RTU, 10 capsules; 1 pack
8469-M250: RTU, 1 cartridge, 250 tests; 1unit
|
more details
Tissue-Tek Genie®
anti-Cytokeratin 14
Clone: LL002
Host clonality: mouse monoclonal
Control tissue: tonsil, esophagus, prostate, and squamous cell carcinoma
Staining pattern: cytoplasmic
Regulatory status: IVD, FDA Class I
| Product code: |
8300-C010: RTU, 10 capsules; 1 pack
8300-M250: RTU, 250 tests, 1 cartridge; 1 unit
|
more details
Tissue-Tek Genie®
anti-Cytokeratin 18
Clone: DC10
Host clonality: mouse monoclonal
Control tissue: liver, gastrointestinal tract, and known CK 18 positive tumors
Staining pattern: cytoplasmic and sometimes membraneous
Regulatory status: IVD, FDA Class I
| Product code: |
8302-C010: RTU, 10 capsules; 1 pack
8302-M250: RTU, 250 tests, 1 cartridge; 1 unit
|
more details
Tissue-Tek Genie®
anti-Cytokeratin 19
Clone: A53-B/A2.26
Host clonality: mouse monocolnal
Control tissue: tonsil, esophagus, prostate
Staining pattern: cytoplasmic
Regulatory status: IVD, FDA Class I
| Product code: |
8303-C010: RTU, 10 capsules; 1 pack
8303-M250: RTU, 1 cartridge, 250 tests; 1 unit
|
more details
Tissue-Tek Genie®
anti-Cytokeratin 20
Clone: Ks20.8
Host clonality: mouse monocolonal
Control tissue: normal colon
Staining pattern: cytoplasmic
Regulatory status: IVD, FDA Class I
| Product code: |
8304-C010: RTU, 10 capsules; 1 pack
8304-M250: RTU, 1 cartridge, 250 tests; 1 unit
|
more details
Tissue-Tek Genie®
anti-Cytokeratin 5/6
Clone: D5/16B4
Host clonality: mouse monoclonal
Control tissue: tonsil, esophagus, prostate
Staining pattern: cytoplasmic
Regulatory status: IVD, FDA Class I
| Product code: |
8295-C010: RTU, 10 capsules; 1 pack
8295-M250: RTU, 250 tests, 1 cartridge; 1 unit
|
more details
Tissue-Tek Genie®
anti-Cytokeratin 7
Clone: OV-TL 12/30
Host clonality: mouse monoclonal
Control tissue: normal pancreas
Staining pattern: cytoplasmic
Regulatory status: IVD, FDA Class I
| Product code: |
8296-C010: RTU, 10 capsules; 1 pack
8296-M250: RTU, 1 cartridge, 250 tests; 1 unit
|
more details
Tissue-Tek Genie®
anti-Cytokeratin 8
Clone: EP17
Host clonality: rabbit monoclonal
Control tissue: liver, gastrointestinal tract, and known CK8 positive tumors
Staining pattern: cytoplasmic and sometimes membraneous
Regulatory status: IVD, FDA Class I
| Product code: |
8238-C010: RTU, 10 capsules; 1 pack
8238-M250: RTU, 250 tests, 1 cartridge; 1 unit
|
more details
Tissue-Tek Genie®
anti-Cytokeratin Antibody Cocktail [AE1/AE3]
Clone: AE1/AE3
Host clonality: mouse monoclonal
Control tissue: normal liver, esophagus, lung
Staining pattern: cytoplasmic
Regulatory status: IVD, FDA Class I
| Product code: |
8307-C010: RTU, 10 capsules; 1 pack
8307-M250: RTU, 250 tests, 1 cartridge; 1 unit
|
more details
Tissue-Tek Genie®
anti-Cytokeratin HMW
Clone: 34bE12
Host clonality: Mouse monoclonal
Control tissue: tonsil, esophagus, prostate
Staining pattern: cytoplasmic
Regulatory status: IVD, FDA Class I
| Product code: |
8306-C010: RTU, 10 capsules; 1 pack
8306-M250: RTU, 250 tests, 1 cartridge; 1 unit
|
more details
Tissue-Tek Genie®
anti-Cytokeratin HMW (CK5)
Clone: GM028
Host clonality: mouse monoclonal
Control tissue: tonsil, esophagus, prostate
Staining pattern: cytoplasmic
Regulatory status: IVD, FDA Class I
| Product code: |
8294-C010: RTU, 10 capsules; 1 pack
8294-M250: RTU, 1 cartridge, 250 tests; 1 unit
|
more details
Tissue-Tek Genie®
anti-Cytokeratin LMW (CK8/18) Antibody Cocktail [EP17/DC10]
Clone: EP17/DC10
Host clonality: rabbit and mouse monoclonal
Control tissue: liver, GI tract, esophagus, and known cytokeratin LMW (CK8/18) positive tumors
Staining pattern: cytoplasmic and sometimes membraneous
Regulatory status: IVD, FDA Class I
| Product code: |
8298-C010: RTU, 10 capsules; 1 pack
8298-M250: RTU, 250 tests, 1 cartridge; 1 unit
|
more details
Tissue-Tek Genie®
anti-Cytokeratin Pan Antibody Cocktail [AE1/AE3/DC10]
Clone: AE1/AE3/DC10
Host clonality: antibody cocktail
Control tissue: normal liver, esophagus, lung
Staining pattern: cytoplasmic
Regulatory status: IVD, FDA Class I
| Product code: |
8309-C010: 10 capsules, RTU; 1 pack
8309-M250: 1 cartridge, 250 tests, RTU; 1 unit
|
more details
Tissue-Tek Genie®
anti-Desmin
Clone: GM007
Host clonality: mouse monoclonal
Control tissue: intestine
Staining pattern: cytoplasmic
Regulatory status: IVD, FDA Class I
| Product code: |
8311-C010: RTU, 10 capsules; 1 pack
8311-M250: RTU, 1 cartridge, 250 tests; 1 unit
|
more details
Tissue-Tek Genie®
anti-DOG1
Clone: DOG1.1
Host clonality: mouse monoclonal
Control tissue: appendix, GIST
Staining pattern: membraneous and cytoplasmic
Regulatory status: IVD, FDA Class I
| Product code: |
8368-C010: RTU, 10 capsules; 1 pack
8368-M250: RTU, 1 cartridge, 250 tests; 1 unit
|
more details
Tissue-Tek Genie®
anti-E-Cadherin
Clone: GM016
Host clonality: mouse monoclonal
Control tissue: appendix, liver, ductal breast carcinoma
Staining pattern: membraneous
Regulatory status: IVD, FDA Class I
| Product code: |
8229-C010: RTU, 10 capsules; 1 pack
8229-M250: RTU, 250 tests, 1 cartridge; 1 unit
|
more details
Tissue-Tek Genie®
anti-Epithelial Cell Adhesion Molecule
Clone: VU-1D9
Host clonality: mouse monoclonal
Control tissue: normal colon
Staining pattern: membraneous and cytoplasmic
Regulatory status: IVD, FDA Class I
| Product code: |
8230-C010: RTU, 10 capsules; 1 pack
8230-M250: RTU, 1 cartridge, 250 tests; 1 unit
|
more details
Tissue-Tek Genie®
anti-Epithelial Cell Adhesion Molecule
Clone: BS14
Host clonality: mouse monoclonal
Control tissue: kidney, appendix/colon, liver, or basal cell carcinoma
Staining pattern: membranous and cytoplasmic
Regulatory status: IVD, FDA Class I
| Product code: |
8337-C010: RTU, 10 capsules; 1 pack
8337-M250: RTU, 250 tests, 1 cartridge; 1 unit
|
more details
Tissue-Tek Genie®
anti-Epithelial Membrane Antigen
Clone: E29
Host clonality: mouse monoclonal
Control tissue: breast ductal carcinoma
Staining pattern: membraneous and cytoplasmic
Regulatory status: IVD, FDA Class I
| Product code: |
8233-C010: RTU, 10 capsules; 1 pack
8233-M250: RTU, 1 cartridge, 250 tests; 1 unit
|
more details
Tissue-Tek Genie®
anti-ERG
Clone: EP111
Host clonality: rabbit monoclonal
Control tissue: appendix, tonsil, ERG positive prostate carcinoma
Staining pattern: nucrear
Regulatory status: IVD, FDA Class I
| Product code: |
8323-C010: RTU, 10 capsules; 1 pack
8323-M250: RTU, 250 tests, 1 cartridge; 1 unit
|
more details
Tissue-Tek Genie®
anti-Factor XIIIa
Clone: EP292
Host clonality: rabbit monoclonal
Control tissue: skin, gastrointestinal tract, liver, dermatofibroma
Staining pattern: cytoplasmic
Regulatory status: IVD, FDA Class I
| Product code: |
8293-C010: RTU, 10 capsules; 1 pack
8293-M250: RTU, 1 cartridge, 250 tests; 1 unit
|
more details
Tissue-Tek Genie®
anti-Gastrin
Clone: polyclonal
Host clonality: rabbit polyclonal
Control tissue: stomach, gastrin-secreting neuroendocrine tumor
Staining pattern: cytoplasmic
Regulatory status: IVD, FDA Class i
| Product code: |
8314-C010: RTU, 10 capsules; 1 pack
8314-M250: RTU, 1 cartridge, 250 tests; 1 unit
|
more details
Tissue-Tek Genie®
anti-GATA3
Clone: QR018
Host clonality: rabbit monoclonal
Control tissue: cervix, tonsil, kidney, selective breast and urothelial carcinoma
Staining pattern: nuclear
Regulatory status: IVD, FDA Class I
| Product code: |
8357-C010: RTU, 10 capsules; 1 pack
8357-M250: RTU, 250 tests, 1 cartridge; 1
|
more details
Tissue-Tek Genie®
anti-GCDFP-15
Clone: EP95
Host clonality: rabbit monoclonal
Control tissue: skin, GCDFP-15 positive breast and breast carsinoma
Staining pattern: cytoplasmic
Regulatory status: IVD, FDA Class I
| Product code: |
8325-C010: RTU, 10 capsules; 1 pack
8325-M250: RTU, 250 tests, 1 cartridge; 1 unit
|
more details
Tissue-Tek Genie®
anti-Glial Fibrillary Acidic Protein (GFAP)
Clone: GA-5
Host clonality: mouse monoclonal
Control tissue: brain, ganglia of appendix/GI tract, and astrocytoma
Staining pattern: cytoplasmic
Regulatory status: IVD, FDA Class I
| Product code: |
8316-C010: RTU, 10 capsules; 1 pack
8316-M250: RTU, 250 tests, 1 cartridge; 1 unit
|
more details
Tissue-Tek Genie®
anti-Granzyme B
Clone: EP230
Host clonality: rabbit monoclonal
Control tissue: spleen, tonsil, selected T-cell lymphomas
Staining pattern: cytoplasmic, granular
Regulatory status: IVD, FDA Class I
| Product code: |
8234-C010: RTU, 10 capsules; 1 pack
8234-M250: RTU, 250 tests, 1 cartridge; 1 unit
|
more details
Tissue-Tek Genie®
anti-Helicobacter pylori
Clone: EP179
Host clonality: rabbit monoclonal
Control tissue: H. pylori infected stomach
Staining pattern: cell wall of H. pylori within the crypts of the stomach mucosa
Regulatory status: IVD, FDA Class I
| Product code: |
8317-C010: RTU, 10 capsules; 1 pack
8317-M250: RTU, 1 cartridge, 250 tests; 1 unit
|
more details
Tissue-Tek Genie®
anti-Hepatocyte Specific Antigen (HEP PAR 1)
Clone: OCH1E5
Host clonality: mouse monoclonal
Control tissue: liver, HCC
Staining pattern: granular cytoplasmic
Regulatory status: IVD, FDA Class I
| Product code: |
8374-C010: RTU, 10 capsules; 1 pack
8374-M250: RTU, 250 tests, 1 cartridge; 1 unit
|
more details
Tissue-Tek Genie®
anti-HHV8
Clone: 13B10
Host clonality: mouse monoclonal
Control tissue: neoplastic cells of KS
Staining pattern: nuclear
Regulatory status: IVD, FDA Class I
| Product code: |
8378-C010: RTU, 10 capsules; 1 pack
8378-M250: RTU, 1 cartridge, 250 tests; 1 unit
|
more details
Tissue-Tek Genie®
anti-IgA
Clone: EP170
Host clonality: rabbit monoclonal
Control tissue: tonsil, lymph node, a subset of B-cell neoplasms
Staining pattern: membraneous and cytoplasmic
Regulatory status: IVD, FDA Class I
| Product code: |
8229-C010: RTU, 10 capsules; 1 pack
8229-M250: RTU, 250 tests, 1 cartridge; 1 unit
|
more details
Tissue-Tek Genie®
anti-IgD
Clone: EP173
Host clonality: rabbit monoclonal
Control tissue: tonsil or lymph nodes or selected B-cell neoplasms
Staining pattern: membraneous and cytoplasmic
Regulatory status: IVD, FDA Class I
| Product code: |
8382-C010: RTU, 10 capsules; 1 pack
8382-M250: RTU, 250 tests, 1 cartridge; 1 unit
|
more details
Tissue-Tek Genie®
anti-IgG
Clone: RM116
Host clonality: rabbit monoclonal
Control tissue: tonsil, lymph node or selected B-cell neoplasms
Staining pattern:
Regulatory status: IVD, FDA Class I
| Product code: |
8383-C010: RTU, 10 capsules; 1 pack
8383-M250: RTU, 250 tests, 1 cartridge; 1 unit
|
more details
Tissue-Tek Genie®
anti-IgG4
Clone: HP6025
Host clonality: mouse monoclonal
Control tissue: tonsil, parotid gland, IgG4 related sclerosing pancreatitis
Staining pattern: cytoplasmic
Regulatory status: IVD, FDA Class I
| Product code: |
8384-C010: RTU, 10 capsules; 1 pack
8384-M250: RTU, 250 tests, 1 cartridge; 1 unit
|
more details
Tissue-Tek Genie®
anti-IgM
Clone: polyclonal
Host clonality: rabbit polyclonal
Control tissue: tonsil, lymph node, or selected B-cell neoplasms
Staining pattern: membraneous and cytoplasmic
Regulatory status: IVD, FDA Class I
| Product code: |
8385-C010: RTU, 10 capsules; 1 pack
8385-M250: RTU, 250 tests, 1 cartridge; 1 unit
|
more details
Tissue-Tek Genie®
anti-INSM1
Clone: ZR395
Host clonality: rabbit monoclonal
Control tissue: pancreas, appendix/colon, and selective neuroendocrine neoplasm
Staining pattern: nuclear
Regulatory status: IVD, FDA Class 1
| Product code: |
8379-C010: RTU, 10 capsules; 1 pack
8379-M250: RTU, 250 tests, 1 cartridge; 1 unit
|
more details
Tissue-Tek Genie®
anti-Kappa Light Chains
Clone: polyclonal
Host clonality: rabbit polyclonal
Control tissue: tonsil, lymph node, and kappa light chain protein positive B-cell neoplasms
Staining pattern: membraneous and cytoplsmic
Regulatory status: IVD, FDA Class I
| Product code: |
8394-C010: RTU, 10 capsules; 1 pack
8394-M250: RTU, 250 tests, 1 cartridge; 1 unit
|
more details
Tissue-Tek Genie®
anti-Ki67
Clone: GM010
Host clonality: mouse monoclonal
Control tissue: normal tonsil
Staining pattern: nuclear
Regulatory status: IVD, FDA Class I
| Product code: |
8473-C010 10 capsules, RTU; 1 pack
8473-M250 1 cartridge, 250 tests, RTU; 1 unit
|
more details
Tissue-Tek Genie®
anti-Lambda Light Chains
Clone: polyclonal
Host clonality: rabbit polyclonal
Control tissue: tonsil, lymph node, and lambda light chain protein positive B-cell neoplasms
Staining pattern: membraneous and cytoplasmic
Regulatory status: IVD, FDA Class I
| Product code: |
8398-C010: RTU, 10 capsules; 1 pack
8398-M250: RTU, 250 tests, 1 cartridge; 1 unit
|
more details
Tissue-Tek Genie®
anti-Lysozyme
Clone: polyclonal
Host clonality: rabbit polyclonal
Control tissue: tonsil, appendix
Staining pattern: cytoplasmic
Regulatory status: IVD, FDA Class I
| Product code: |
8333-C010: RTU, 10 capsules; 1 pack
8333-M250: RTU, 250 tests, 1 cartridge; 1 unit
|
more details
Tissue-Tek Genie®
anti-Mammaglobin
Clone: EP249
Host clonality: rabbit monoclonal
Control tissue: mammaglobin positive normal breast, breast carcinoma, skin
Staining pattern: cytoplasmic
Regulatory status: IVD, FDA Class I
| Product code: |
8240-C010: RTU, 10 capsules; 1 pack
8240-M250: RTU, 250 tests, 1 cartridge; 1 unit
|
more details
Tissue-Tek Genie®
anti-Melan-A
Clone: EP43
Host clonality: rabbit monoclonal
Control tissue: melanoma
Staining pattern: cytoplasmic
Regulatory status: IVD, FDA Class I
| Product code: |
8319-C010: RTU, 10 capsules; 1 pack
8319-M250: RTU, 1 cartridge, 250 tests; 1 unit
|
more details
Tissue-Tek Genie®
anti-Melanoma Pan Antibody Cocktail [HMB45/EP43/T311]
Clone: HMB45/EP43/T311
Host clonality: mouse and rabbit monoclonal
Control tissue: skin, melanoma, adrenal gland
Staining pattern: cytoplasmic
Regulatory status: IVD, FDA Class I
| Product code: |
8371-C010: RTU, 10 capsules; 1 pack
8371-M250: RTU, 250 tests, 1 cartridge; 1 unit
|
more details
Tissue-Tek Genie®
anti-Melanosome
Clone: HMB45
Host clonality: mouse monoclonal
Control tissue: melanosome
Staining pattern: cytoplasmic
Regulatory status: IVD, FDA Class I
| Product code: |
8232-C010: RTU, 10 capsules; 1 pack
8232-M250: RTU, 1 cartridge, 250 tests; 1 unit
|
more details
Tissue-Tek Genie®
anti-MLH1
Clone: GM011
Host clonality: mouse monoclonal
Control tissue: normal colon
Staining pattern: nuclear
Regulatory status: IVD, FDA Class I
| Product code: |
8324-C010: RTU, 10 capsules; 1 pack
8324-M250: RTU, 1 cartridge, 250 tests; 1 unit
|
more details
Tissue-Tek Genie®
anti-MSH2
Clone: RED2
Host clonality: rabbit monoclonal
Control tissue: normal colon, appendix, tonsil
Staining pattern: nuclear
Regulatory status: IVD, FDA Class I
| Product code: |
8327-C010: RTU, 10 capsules; 1 pack
8327-M250: RTU, 1 cartridge, 250 tests; 1 unit
|
more details
Tissue-Tek Genie®
anti-MSH6
Clone: EP49
Host clonality: rabbit monoclonal
Control tissue: colon, appendix, tonsil
Staining pattern: nuclear
Regulatory status: IVD, FDA Class I
| Product code: |
8326-C010: RTU, 10 capsules; 1 pack
8326-M250: RTU, 1 cartridge, 250 tests; 1 unit
|
more details
Tissue-Tek Genie®
anti-MUC1
Clone: ZM32
Host clonality: mouse monoclonal
Control tissue: tonsil, appendix, pancreas, breast, lung
Staining pattern: membraneous and cytoplasmic
Regulatory status: IVD, FDA Class I
| Product code: |
8375-C010: RTU, 10 capsules; 1 pack
8375-M250: RTU, 250 tests, 1 cartridge; 1 unit
|
more details
Tissue-Tek Genie®
anti-MUC2
Clone: CCP58
Host clonality: mouse monoclonal
Control tissue: appendix, colon, small intestine
Staining pattern: cytoplasmic
Regulatory status: IVD, FDA Class I
| Product code: |
8305-C010: RTU, 10 capsules; 1 pack
8305-M250: RTU, 250 tests, 1 cartridge; 1 unit
|
more details
Tissue-Tek Genie®
anti-MUC5AC
Clone: Nd-2
Host clonality: mouse monoclonal
Control tissue: gastric mucosa
Staining pattern: cytoplasmic and/or perinuclear
Regulatory status: IVD, FDA Class I
| Product code: |
8299-C010: RTU, 10 capsules; 1 pack
8299-M250: RTU, 250 tests, 1 cartridge; 1 unit
|
more details
Tissue-Tek Genie®
anti-MUM-1
Clone: EP190
Host clonality: rabbit monoclonal
Control tissue: tonsil, appendix, B-cell lymphoma, and myeloma
Staining pattern: nuclear
Regulatory status: IVD, FDA Class I
| Product code: |
8329-C010: RTU, 10 capsules; 1 pack
8329-M250: RTU, 250 tests, 1 cartridge; 1 unit
|
more details
Tissue-Tek Genie®
anti-Myeloperoxidase (MPO)
Clone: EP151
Host clonality: rabbit monoclonal
Control tissue: bone marrow, tonsil, liver, and myeloid leukemias
Staining pattern: granular cytoplasmic
Regulatory status: IVD, FDA Class I
| Product code: |
8407-C010: RTU, 10 capsules; 1 pack
8407-M250: RTU, 250 tests, 1 cartridge; 1 unit
|
more details
Tissue-Tek Genie®
anti-Myosin Smooth Muscle
Clone: SMMS-1
Host clonality: mouse monoclonal
Control tissue: breast, tonsil, appendix
Staining pattern: cytoplasmic
Regulatory status: IVD, FDA Class I
| Product code: |
8517-C010: RTU, 10 capsules; 1 pack
8517-M250: RTU, 250 tests, 1 cartridge; 1 unit
|
more details
Tissue-Tek Genie®
anti-Napsin A
Clone: EP205
Host clonality: rabbit monoclonal
Control tissue: lung, kidney, and known napsin A positive lung adenocarcinoma
Staining pattern: granular cytoplasmic
Regulatory status: IVD, FDA Class I
| Product code: |
8331-C010: RTU, 10 capsules; 1 pack
8331-M250: RTU, 250 tests, 1 cartridge; 1 unit
|
more details
Tissue-Tek Genie®
anti-Neurofilament
Clone: 2F11
Host clonality: mouse monoclonal
Control tissue: appendix, colon, and tumors with neuronal differentation
Staining pattern: cytoplasmic
Regulatory status: IVD, FDA Class I
| Product code: |
8289-C010: RTU, 10 capsules; 1 pack
8289-M250: RTU, 250 tests, 1 cartridge; 1 unit
|
more details
Tissue-Tek Genie®
anti-Neuron Specific Enolase
Clone: EP319
Host clonality: rabbit monoclonal
Control tissue: appendix, colon, pancreas, and tumors derived from neuron and endocrine
Staining pattern: cytoplasmic and nuclear
Regulatory status: IVD, FDA Class I
| Product code: |
8447-C010: RTU, 10 capsules; 1 pack
8447-M250: RTU, 250 tests, 1 cartridge; 1 unit
|
more details
Tissue-Tek Genie®
anti-NKX3.1
Clone: EP356
Host clonality: rabbit monoclonal
Control tissue: prostate, testis
Staining pattern: nuclear
Regulatory status: IVD, FDA Class I
| Product code: |
8320-C010: RTU, 10 capsules; 1 pack
8320-M250: RTU, 250 tests, 1 cartridge; 1 unit
|
more details
Tissue-Tek Genie®
anti-OCT.2
Clone: EP284
Host clonality: rabbit monoclonal
Control tissue: tonsil, B-cell lymphoma
Staining pattern: nuclear
Regulatory status: IVD, FDA Class I
| Product code: |
8334-C010: RTU, 10 capsules; 1 pack
8334-M250: RTU, 250 tests, 1 cartridge; 1 unit
|
more details
Tissue-Tek Genie®
anti-OCT.3/4
Clone: C-10
Host clonality: mouse monoclonal
Control tissue: germ cell tumors (e.g., seminoma, dysgerminoma, embryonal carcinoma, and GCNIS)
Staining pattern: nuclear
Regulatory status: IVD, FDA Class I
| Product code: |
8288-C010: RTU, 10 capsules; 1 pack
8288-M250: RTU, 250 tests, 1 cartridge; 1 unit
|
more details
Tissue-Tek Genie®
anti-p120
Clone: EP66
Host clonality: rabbit monoclonal
Control tissue: tonsil, liver and neoplastic breast epithelial cells of lobular type (showing loss of membrane reactivity)
Staining pattern: membraneous staining of normal cells, membraneous and cytoplasmic staining of some neoplastic cells
Regulatory status: IVD, FDA Class I
| Product code: |
8373-C010: RTU, 10 capsules; 1 pack
8373-M250: RTU, 250 tests, 1 cartridge; 1 unit
|
more details
Tissue-Tek Genie®
anti-p53
Clone: BP53.12
Host clonality: mouse monoclonal
Control tissue: selective squamous cell cardinoma
Staining pattern: nuclear
Regulatory status: IVD, FDA Class I
| Product code: |
8477-C010: RTU, 10 capsules; 1 pack
8477-M250: RTU, 1 cartridge, 250 tests; 1 unit
|
more details
Tissue-Tek Genie®
anti-p63
Clone: MX013
Host clonality: mouse monoclonal
Control tissue: tonsil, prostate, placenta, and squamous cell carcinoma
Staining pattern: nuclear
Regulatory status: IVD, FDA Class I
| Product code: |
8312-C010: RTU, 10 capsules; 1 pack
8312-M250: RTU, 250 tests, 1 cartridge; 1 unit
|
more details
Tissue-Tek Genie®
anti-PAX5
Clone: EP156
Host clonality: rabbit
Control tissue: tonsil, appendix, B-cell lymphoma
Staining pattern: nuclear
Regulatory status: IVD, FDA Class I
| Product code: |
8500-C010: RTU, 10 capsules; 1 pack
8500-M250: RTU, 250 tests, 1 cartridge; 1 unit
|
more details
Tissue-Tek Genie®
anti-PAX8
Clone: EP298
Host clonality: rabbit monoclonal
Control tissue: kidney, endometrium, PAX8 positive RCC, and ono-mucineous ovarian cancer
Staining pattern: nuclear
Regulatory status: IVD, FDA Class I
| Product code: |
8502-C010: RTU, 10 capsules; 1 pack
8502-M250: RTU, 250 tests, 1 cartridge; 1 unit
|
more details
Tissue-Tek Genie®
anti-PD-1
Clone: EP239
Host clonality: rabbit monoclonal
Control tissue: tonsil, lymph-node, selective T-cell lymphomas
Staining pattern: cytoplasmic
Regulatory status: IVD, FDA Class I
| Product code: |
8287-C010: RTU, 10 capsules; 1 pack
8287-M250: RTU, 250 tests, 1 cartridge; 1 unit
|
more details
Tissue-Tek Genie®
anti-Perforin
Clone: 5B10
Host clonality: mouse monoclonal
Control tissue: tonsil, spleen, selective ALCL
Staining pattern: granular cytoplasmic
Regulatory status: IVD, FDA Class I
| Product code: |
8236-C010: RTU, 10 capsules; 1 pack
8236-M250: RTU, 250 tests, 1 cartridge; 1 unit
|
more details
Tissue-Tek Genie®
anti-PLAP
Clone: GM022
Host clonality: mouse monoclonal
Control tissue: placenta, seminoma
Staining pattern: membraneous and cytoplasmic
Regulatory status: IVD, FDA Class I
| Product code: |
8235-C010: RTU, 10 capsules; 1 pack
8235-M250: RTU, 250 tests, 1 cartridge; 1 unit
|
more details
Tissue-Tek Genie®
anti-PMS2
Clone: EP51
Host clonality: rabbit monoclonal
Control tissue: normal colon, appendix, tonsil
Staining pattern: nuclear
Regulatory status: IVD, FDA Class I
| Product code: |
8328-C010: RTU, 10 capsules; 1 pack
8328-M250: RTU, 1 cartridge, 250 tests; 1 unit
|
more details
Tissue-Tek Genie®
anti-Podoplanin
Clone: D2-40
Host clonality: mouse monoclonal
Control tissue: tonsil, appendix, lymph node, epithelioid mesothelioma
Staining pattern: mainly cytoplasmic and some membraneous
Regulatory status: IVD, FDA Class I
| Product code: |
8515-C010: RTU, 10 capsules; 1 pack
8515-M250: RTU, 250 tests, 1 cartridge; 1 unit
|
more details
Tissue-Tek Genie®
anti-Prostate Specific Antigen
Clone: EP109
Host clonality: rabbit monoclonal
Control tissue: prostate hyperplasia, prostate cardinoma
Staining pattern: cytoplasmic
Regulatory status: IVD, FDA Class I
| Product code: |
8244-C010: RTU, 10 capsules; 1 pack
8244-M250: RTU, 250 tests, 1 cartridge; 1 unit
|
more details
Tissue-Tek Genie®
anti-Prostein
Clone: ZR9
Host clonality: rabbit monoclonal
Control tissue: benign prostate and prostate carcinoma
Staining pattern: granular cytoplasmic
Regulatory status: IVD, FDA Class I
| Product code: |
8519-C010: RTU, 10 capsules; 1 pack
8519-M250: RTU, 250 tests, 1 cartridge; 1 unit
|
more details
Tissue-Tek Genie®
anti-S100B
Clone: EP32
Host clonality: rabbit monoclonal
Control tissue: skin, gastrointestinal tract, melanoma
Staining pattern: cytoplasmic and nuclear
Regulatory status: IVD, FDA Class I
| Product code: |
8442-C010: RTU, 10 capsules; 1 pack
8442-M250: RTU, 1 cartridge, 250 tests; 1 unit
|
more details
Tissue-Tek Genie®
anti-SALL4
Clone: 6E3
Host clonality: mouse monoclonal
Control tissue: testis, germ cell tumors (e.g., seminoma, dysgerminoma, embryonal carcinoma, yolk sac tumor, and GCNIS)
Staining pattern: nuclear
Regulatory status: IVD, FDA Class I
| Product code: |
8358-C010: RTU, 10 capsules; 1 pack
8358-M250: RTU, 250 tests, 1 cartridge; 1 unit
|
more details
Tissue-Tek Genie®
anti-SATB2
Clone: QR023
Host clonality: rabbit monoclonal
Control tissue: appendix/colon, tonsil, testis, or colorectal carcinoma
Staining pattern: nuclear
Regulatory status: IVD, FDA Class I
| Product code: |
8356-C010: RTU, 10 capsules; 1 pack
8356-M250: RTU, 250 tests, 1 cartridge; 1 unit
|
more details
Tissue-Tek Genie®
anti-SOX11
Clone: CM032
Host clonality: mouse monoclonal
Control tissue: selected mantle cell lymphomas
Staining pattern: nuclear
Regulatory status: IVD, FDA Class I
| Product code: |
8521-C010: RTU, 10 capsules; 1 pack
8521-M250: RTU, 250 tests, 1 cartridge; 1 unit
|
more details
Tissue-Tek Genie®
anti-SOX2
Clone: EP103
Host clonality: rabbit monoclonal
Control tissue: embryonal carcinoma, esophagus, SCC, tonsil
Staining pattern: nuclear
Regulatory status: IVD, FDA Class I
| Product code: |
8228-C010: RTU, 10 capsules; 1 pack
8228-M250: RTU, 250 tests, 1 cartridge; 1 unit
|
more details
Tissue-Tek Genie®
anti-Synaptophysin
Clone: BS15
Host clonality: mouse monoclonal
Control tissue: appendix, colon, pancreas, neuroendocrine tumors
Staining pattern: cytoplasmic
Regulatory status: IVD, FDA Class I
| Product code: |
8453-C010: RTU, 10 capsules; 1 pack
8453-M250: RTU, 1 cartridge, 250 tests; 1 unit
|
more details
Tissue-Tek Genie®
anti-Terminal Deoxyribonucleotidyl Transferase
Clone: SEN28
Host clonality: mouse monoclonal
Control tissue: thymus, thymoma, some cells within tonsils
Staining pattern: nuclear
Regulatory status: IVD, FDA Class I
| Product code: |
8243-C010: RTU, 10 capsules; 1 pack
8243-M250: RTU, 250 tests, 1 cartridge; 1 unit
|
more details
Tissue-Tek Genie® anti-Thyroid
Transcription Factor-1
Clone: EP229
Host clonality: rabbit monoclonal
Control tissue: thyroid, lunc, thyroid, lung adenocarcinomas
Staining pattern:
Regulatory status:
| Product code: |
8224-C010: RTU, 10 capsules; 1 pack
8224-M250: RTU, 1 cartridge, 250 tests; 1 unit
|
more details
Tissue-Tek Genie®
anti-TRPS1
Clone: ZR382
Host clonality: rabbit monoclonal
Control tissue: breast, cervix, appendix/colon, or selective breast carcinoma
Staining pattern: nuclear
Regulatory status: IVD, FDA Class I
| Product code: |
8359-C010: RTU, 10 capsules; 1 pack
8359-M250: RTU, 250 tests, 1 cartridge; 1 unit
|
more details
Tissue-Tek Genie®
anti-Tryptase
Clone: EP259
Host clonality: rabbit monoclonal
Control tissue: tonsil, appendix, colon
Staining pattern: cytoplasmic
Regulatory status: IVD, FDA Class I
| Product code: |
8372-C010: RTU, 10 capsules; 1 pack
8372-M250: RTU, 1 cartridge, 250 tests; 1 unit
|
more details
Tissue-Tek Genie®
anti-Vimentin
Clone: V9
Host clonality: mouse monoclonal
Control tissue: lymph node, appendix, tonsil
Staining pattern: cytoplasmic
Regulatory status: IVD, FDA Class I
| Product code: |
8336-C010: RTU, 10 capsules; 1 pack
8336-M250: RTU, 1 cartridge, 250 tests; 1 unit
|
more details
Tissue-Tek Genie®
anti-WT1
Clone: CP122
Host clonality: rabbit monoclonal
Control tissue: kidney, fallopian tube, and serous carcinomas
Staining pattern: Nuclear staining is interpreted as positive. Nucleolar staining and/or membraneous staining alone are not considered positive
Regulatory status: IVD, FDA Class I
| Product code: |
8340-C010: RTU, 10 capsules; 1 pack
8340-M250: RTU, 250 tests, 1 cartridge; 1 unit
|
more details
Tissue-Tek Genie®
anti-ZAP70
Clone: ZM97
Host clonality: mouse monoclonal
Control tissue: lymph node, tonsil, selected cases of B-CLL/SLL
Staining pattern: cytoplasmic and nuclear
Regulatory status: IVD, FDA Class I
| Product code: |
8501-C010: RTU, 10 capsules; 1 pack
8501-M250: RTU, 250 tests, 1 cartridge; 1 unit
|
more details
Tissue-Tek Genie® DUO
anti-AMACR/p63/CK5/6 PIN Antibody Cocktail
Clone: 13H4/MX013/(D5/16B4)
Host clonality: mouse and rabbit monoclonal
Control tissue: normal (benign) prostate and prostate adenocarcinoma
Staining pattern: cytoplasmic for AMACR, nuclear for p63, and cytoplasmic for CK5/6
Regulatory status: IVD, FDA Class I
| Product code: |
8485-C010: RTU, 10 capsules; 1 pack
8485-M100: RTU, 100 tests, 1 cartridge; 1 unit
|
more details
Tissue-Tek Genie® DUO
anti-Melan-A / Ki67 Antibody Cocktail
Clone: EP43/GM010
Host clonality: mouse and rabbit monoclonal
Control tissue: melanoma, skin
Staining pattern: cytoplasmic for Melan-A and nuclear for Ki67
Regulatory status: IVD, FDA Class I
| Product code: |
8480-C010: RTU, 10 capsules; 1 pack
8480-M100: RTU, 100 tests, 1 cartridge; 1 unit
|
more details
Tissue-Tek Genie® DUO
anti-Pan Cytokeratin/CD31 Antibody Cocktail
Clone: (AE1/AE3/DC10)/RM247
Host clonality: mouse and rabbit monoclonal
Control tissue: tonsil, appendix, liver, carcinoma
Staining pattern: cytoplasmic and some membraneous staining for cytokeratins and membraneous and cytoplasmic staining for CD31
Regulatory status: IVD, FDA Class I
| Product code: |
8484-C010: RTU, 10 capsules; 1 pack
8484-M100: RTU, 100 tests, 1 cartridge; 1 unit
|
more details
Tissue-Tek Genie®
DUO Non-immune Mouse and Rabbit Ig Antibody Cocktail, Negative Control
Clone: polyclonal
Host clonality: antibody cocktail
Control tissue: NA
Staining pattern: no staining
Regulatory status: IVD, FDA Class I
| Product code: |
8482-C010: RTU, 10 capsules; 1 pack
8482-M250: RTU, 250 tests, 1 cartridge; 1 unit
|
more details
Tissue-Tek Genie® FITC
anti-C3
Clone: polyclonal
Host clonality: goat polyclonal
Control tissue: kidney or skin from Lupus cases with C3 deposits
Staining pattern: membraneous and/or cytoplasmic
Regulatory status: IVD, FDA Class I
| Product code: |
8539-C010: RTU, 10 capsules; 1 pack
|
more details
Tissue-Tek Genie® FITC
anti-Fibrinogen
Clone: polyclonal
Host clonality: goat polyclonal
Control tissue: placenta
Staining pattern: membraneous and/or cytoplasmic
Regulatory status: IVD, FDA Class I
| Product code: |
8538-C010: RTU, 10 capsules; 1 pack
|
more details
Tissue-Tek Genie® FITC
anti-IgA
Clone: polyclonal
Host clonality: goat polyclonal
Control tissue: tonsil, lymph node
Staining pattern: membraneous and/or cytoplasmic
Regulatory status: IVD, FDA Class I
| Product code: |
8536-C010: RTU, 10 capsules; 1 pack
|
more details
Tissue-Tek Genie® FITC
anti-IgG
Clone: polyclonal
Host clonality: goat polyclonal
Control tissue: tonsil, lymph node
Staining pattern: membraneous and/or cytoplasmic
Regulatory status: IVD, FDA Class I
| Product code: |
8535-C010: RTU, 10 capsules; 1 pack
|
more details
Tissue-Tek Genie® FITC
anti-IgM
Clone: polyclonal
Host clonality: goat polyclonal
Control tissue: tonsil, lymph node
Staining pattern: membraneous and/or cytoplasmic
Regulatory status: IVD, FDA Class I
| Product code: |
8537-C010: RTU, 10 capsules; 1 pack
|
more details
Tissue-Tek Genie® Pro Detection Kit, DAB
Product code and quantity
8826-K250: 6 cartridges, 250 tests, RTU; 1 kit
Description
The Tissue-Tek Genie Pro Detection Kit, DAB uses a non-biotin based system to detect and to visualize mouse or rabbit primary antibodies bound to antigens in Formalin-Fixed, Paraffin-Embedded (FFPE) specimen sections.
The detection system uses Protein and Peroxidase blocks to prevent unspecific binding of antibodies to antigens and reactions of endogenous peroxidase with downstream components of the detection system. After blocking, the detection system uses a Link solution that binds to the mouse or rabbit primary antibodies to form a complex with a horse radish peroxidase (HRP) conjugate which increases sensitivity.
The complex is then visualized with the addition of DAB. DAB Intensifier can be used to increase the intensity of
DAB staining.
Components
The detection system kit contains 6 cartridges, one cartridge each of the following:
• Tissue-Tek Genie® Protein Block, 250 tests
• Tissue-Tek Genie® Peroxidase Block, 250 tests
• Tissue-Tek Genie® Link, 250 tests
• Tissue-Tek Genie® Poly HRP-Conjugate, 250 tests
• Tissue-Tek Genie® DAB, 250 tests
• Tissue-Tek Genie® DAB Intensifier, 250 tests
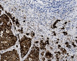
These 6 images display the exceptional sensitivity (high dynamic range) and superb specificity (no visible non-specific background staining) of the Tissue-Tek Genie Pro Detection Kit, DAB and selected Tissue-Tek Genie antibodies.
.bmp?width=200&height=137) |
.bmp?width=200&height=141) |
.bmp?width=200&height=141) |
| Positive Helicobacter pylori staining in crypts of gastric mucosa, no background staining. |
Negative staining of colon adenocarcinoma with loss of MLH1 expression, no background staining. |
Negative staining of colon adenocarcinoma with loss of MSH2 expression, no background staining. |
.jpg?width=200&height=142) |
.jpg?width=200&height=138) |
.jpg?width=200&height=141) |
| Negative staining of colon adenocarcinoma with loss of MSH6 expression, no background staining. |
Negative staining of colon adenocarcinoma with loss of PMS2 expression, no background staining. |
CK 19 staining in crypt cells of appendix with high dynamic range,
no background staining. |
The Tissue-Tek Genie
Pro Detection Kit, DAB HRP staining steps provide standardization using RTU components and timing flexibility where needed.
Tissue-Tek Genie® Pro AP Red Detection Kit
Product code and quantity
8836-K250: 4 cartridges, 250 tests, RTU; 1 kit
Description
The Tissue-Tek Genie Pro AP Red Detection Kit uses a
non-biotin based system to detect and to visualize mouse and rabbit primary antibodies bound to antigens informalin-fixed, paraffin-embedded (FFPE) specimen sections.
The detection system uses protein block to prevent nonspecific binding of antibodies to antigens with downstream components of the detection system. After blocking, the detection system uses a link solution that binds to the mouse and rabbit primary antibodies to form a complex with an alkaline phosphatase AP-Conjugate. The complex is then visualized with the addition of AP Red.
Components
The detection system kit contains 4 cartridges, one cartridge each of the following:
• Tissue-Tek Genie® Protein Block
• Tissue-Tek Genie® Link
• Tissue-Tek Genie® Poly AP-Conjugate
• Tissue-Tek Genie® AP Red
These 3 images display the exceptional sensitivity (high dynamic range) and superb specificity (no visible non-specific background staining) of the Tissue-Tek Genie Pro AP Red Detection Kit and selected Tissue-Tek Genie antibodies.
 |
 |
.bmp?width=200&height=156) |
| Strong pan melanoma staining of melanoma. |
Melan-A staining of blue nevus. |
SOX10 staining of melanoma. |
The Tissue-Tek Genie Pro AP Red Detection Kit, staining steps provide standardization using RTU components and timing flexibility where needed.
Tissue-Tek Genie® DUO Detection Kit
.jpg)
Product code and quantity
8837-K250: 6 cartridges, 250 tests, RTU; 1 kit
Tissue-Tek Genie® DUO Mouse-DAB/Rabbit-AP Red Dual Detection Kit
The Tissue-Tek Genie® DUO Mouse-DAB/Rabbit-AP Red Dual Detection Kit uses a non-biotin-based system to detect and to visualize mouse and rabbit primary antibodies bound to antigens in FFPE specimen sections.
The detection system uses a protein block to prevent nonspecific binding of antibodies to antigens with downstream components of the detection system. After blocking, mouse and rabbit primary antibodies are applied on the tissue sections simultaneously using prefilled capsules or cartridges. Subsequently, the detection system sequentially applies the Link Mouse solution that binds to mouse primary antibodies and then the Link Rabbit solution that binds to rabbit primary antibodies. This is followed by an application of a cocktail containing a horseradish peroxidase (HRP) conjugate for mouse and an alkaline phosphatase AP-Conjugate for rabbit. The resulting complex is visualized by sequentially applying the diaminobenzidine (DAB) substrate-
chromogen solution, and then by applying the AP Red substrate-chromogen solution, which create colored precipitates at the location of the antigens.
.jpg?width=400&height=238)
.jpg?width=700&height=104)
 |
.bmp?width=200&height=157) |
.bmp?width=200&height=160) |
Tissue-Tek Genie® DUO anti-Melan-A [EP43] /Ki67 [GM010] Antibody Cocktail.
Note that the benign melanocytes are not proliferatively active. |
Tissue-Tek Genie® DUO anti-Pan Cytokeratin [AE1/AE3/DC10] / CD31[RM247] Antibody Cocktail.
The combination of these two markers on a single slide is particularly helpful for identifying small foci of carcinoma within lymphatics. |
Tissue-Tek Genie® DUO Non-immune Mouse and Rabbit Ig Antibody Cocktail. |
Tissue-Tek Genie® Pro Antibody Diluent
Product code and quantity
8866-G004: RTU, 4 bottles, 100 mL each; 1 case
Description
Optimal staining performance during immunohistochemistry (IHC) is achieved through dilution of the primary antibodies. This dilution process involves mixing concentrated antibody with Tissue-Tek Genie
® Pro Antibody Diluent to an optimal dilution determined by the user. The diluted antibody can then be filled into a Tissue-Tek Genie
® User-Fillable Capsule, Tissue-Tek Genie
® User Fillable Cartridge, or be applied by hand during manual application mode on the Tissue-Tek Genie® Advanced Staining System.
Tissue-Tek Genie® Hematoxylin
Product code and quantity
8830-M250: RTU, 250 tests, 1 cartridge: 1 unit
Description
The Tissue-Tek Genie
® Hematoxylin is designed to counterstain cellular nuclei in formalinfixed, paraffin embedded (FFPE) human specimen sections after immunohistochemistry (IHC) staining of specific protein targets or chromogenic in situ hybridization (CISH) of specific DNA or RNA targets using the automated Tissue-Tek Genie
® Advanced Staining System.
Tissue-Tek Genie® Citrate Antigen Retrieval Solution
Product code and quantity
8742-G001: RTU, 1 bottle, 3.8 Liters; 1 unit
Description
Tissue-Tek Genie
® Citrate Antigen Retrieval Solution is designed for heat-induced epitope retrieval (HIER) of specimen sections during immunohistochemical (IHC) staining on the Tissue-Tek Genie® Advanced Staining System.
Tissue fixation involves creating crosslinks between protein residues in the tissue. This fixation process preserves the tissue, but also denatures many antigens and makes antigen sites within the tissue less accessible to antibodies. The Tissue-Tek Genie Citrate Antigen Retrieval Solution is applied to the specimen section and heated on the Tissue-Tek Genie Advanced Staining System. This process breaks the crosslinks formed during fixation and allows proteins to renature which allows greater accessibility of antigenic sites to antibodies.
Tissue-Tek Genie® Dewax Solution
Product code and quantity
8865-G001: RTU, 1 bottle, 3.8 Liters; 1 unit
Description
Tissue-Tek Genie
® Dewax Solution is designed to remove paraffin wax from paraffin embedded tissue sections on the Tissue-Tek Genie
® Advanced Staining System.
Formalin-fixed, paraffin embedded (FFPE) specimen sections mounted on microscope slides are treated with Tissue-Tek Genie Dewax Solution on the Tissue-Tek Genie Advanced Staining System prior to the immunohistochemistry and/or in situ hybridization staining processes. Specimen sections in the presence of Tissue-Tek Genie Dewax Solution are gently heated for optimized removal of paraffin.
Tissue-Tek Genie® High pH Antigen Retrieval Solution
Product code and quantity
8744-G001: RTU, 1 bottle, 3.8 Liters; 1 unit
Description
Tissue-Tek Genie
® High pH Antigen Retrieval Solution is designed for heat-induced epitope retrieval (HIER) of specimen sections during immunohistochemical (IHC) staining on the Tissue-Tek Genie
® Advanced Staining System.
Tissue-Tek Genie® Wash Buffer Solution
Product code and quantity
8874-G004: RTU, 4 bottles, 3.8 Liters each: 1 case
Description
Tissue-Tek Genie
® Wash Buffer Solution is designed to remove residual reagents from tissue sections during immunohistochemical (IHC) staining on the Tissue-Tek Genie
® Advanced Staining System.
The Tissue-Tek Genie Wash Buffer Solution is a bulk reagent that is used between incubation steps during IHC or ISH staining processes. The Tissue-Tek Genie Wash Buffer Solution serves as a rinsing agent for the removal of residual reagents that remain on the tissue sections from the previous protocol step.
Tissue-Tek Genie® Proteinase K
Product code and quantity
9811-M100: RTU, 100 tests, 1 cartridge; 1 unit
Description
The Tissue-Tek Genie
® Proteinase K is intended for the proteolytic digestion of formalin-fixed, paraffin embedded (FFPE) human tissue sections during immuno-histochemistry (IHC) staining of specific protein targets or chromogenic in situ hybridization (CISH) staining of specific DNA or RNA targets on the automated Tissue-Tek Genie
® Advanced Staining System.