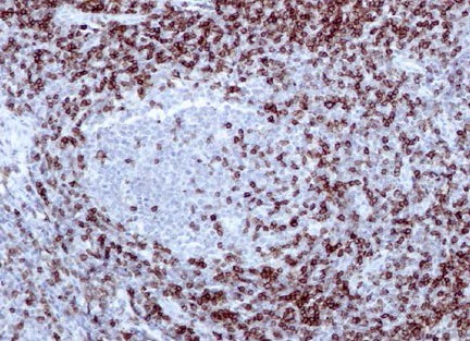
CD5

Clone: GR020
Host clonality: rabbit monoclonal
Control tissue: tonsil
Staining pattern: membranous, some cytoplasmic
Regulatory status: IVD, FDA Class I
Product code: 60-0183-7 7mL RTU
61-0183 1mL concentrate

 

This antibody labels the CD5 protein on the membrane of T-cells and subsets of B-cells found in the follicular mantle zones, bone marrow, and peripheral blood.  It is useful for classifying and characterizing T-cell and B-cell neoplasms when used in a panel of antibodies.
CD5
Back to top