c-kit (CD117)

Clone:
Host clonality: rabbit polyclonal
Control tissue: appendix
Staining pattern: membranous, cytoplasmic
Regulatory status: IVD, FDA Class I
Product code: 60-0020-7 7mL RTU
61-0020 1mL concentrate

 

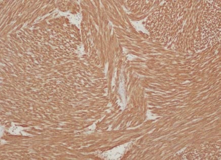
In the gastrointestinal organs such as the appendix and colon, strong membranous and cytoplasmic staining of Cajal cells is observed in the muscularis propria. Membranous and cytoplasmic staining with this antibody is also observed in the neoplastic cells of gastrointestinal stromal tumors (GIST). It is a useful tool for differentiating between gastrointestinal stromal tumors and other intra-abdominal mesanchymal tumors when used in a panel of antibodies.
c-kit (CD117)
Back to top