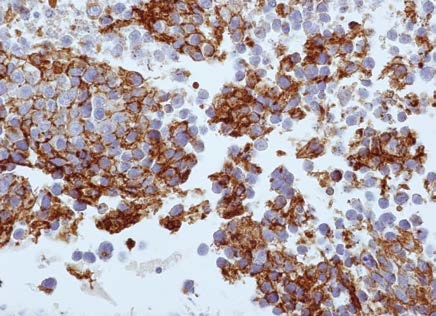
PLAP

Clone: GM022
Host clonality: mouse monoclonal
Control tissue: placenta
Staining pattern: membranous, cytoplasmic
Regulatory status: IVD, FDA Class I
Product code: 60-0139-7 7mL RTU
61-0139 1mL concentrate

 

This antibody is a useful tool for the identification of germ cell tumors (e.g. seminomas) and for the identification desmoplastic small round cell tumors (a soft tissue sarcoma). Placental Alkaline Phosphatase (PLAP) is a highly sensitive marker for the majority of embryonal carcinomas, and endodermal sinus tumors of the testis. Differential identification is aided by the results from a panel of antibodies. This antibody may be used along with EMA and cytokeratin [AE1/AE3] to distinguish germ cell tumors from somatic tumors.
 
PLAP
Back to top