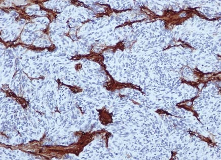
Laminin

Clone:
Host clonality: rabbit polyclonal
Control tissue: tonsil
Staining pattern: membranous
Regulatory status: IVD, FDA Class I
Product code: 60-0113-7 7mL RTU

 

This antibody labels laminin, which is present in the basement membrane. The antibody may be useful in the characterization of basement membrane preservation, e.g. in breast cancer and adenocarcinomas of the lung when used in a panel of antibodies. Laminins have been found to promote cell adhesion, migration, protease activity, proliferation, tumor growth, angiogenesis and metastasis.
 
Laminin
Back to top