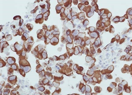
Desmin

Clone: GM007
Host clonality: mouse monoclonal
Control tissue: appendix
Staining pattern: cytoplasmic
Regulatory status: IVD, FDA Class I
Product code: 60-0077-7 7mL RTU
61-0077 1mL concentrate

 

This antibody labels the desmin protein in both normal and neoplastic cells. It is a useful tool for subtyping undifferentiated and pleomorphic tumors when used in a panel of antibodies.
Desmin
Back to top